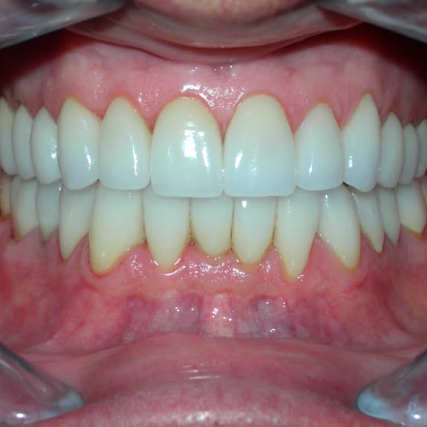
Dental Implants

Dental implants are advanced, long-lasting solutions for replacing missing teeth. They are titanium posts surgically placed into the jawbone, acting as artificial tooth roots. Once healed, a crown, bridge, or denture is securely attached to restore natural function and appearance.

Benefits of Dental Implants:

Look, feel, and function like natural teeth

Improve chewing, speech, and overall oral health

Prevent bone loss and preserve facial structure

Fixed and long-lasting (often lifelong with proper care)

No impact on adjacent natural teeth

At Shree Sadguru Dental Clinic:

We use high-quality implants from trusted global brands

Treatments performed by certified implantologist Dr. Gauri Garud

Digital scanning, CBCT, and OPG for accurate planning

Options for Single Implants, All-on-4, and Full Mouth Rehabilitation

Painless and safe procedure with quick healing

Restores Confidence and Aesthetics

Dental implants enhance not just functionality but also the appearance of your smile — helping you speak, eat, and smile confidently without discomfort or self-consciousness.